- Home >
- Cosmetic Dentistry
Cosmetic Dentistry
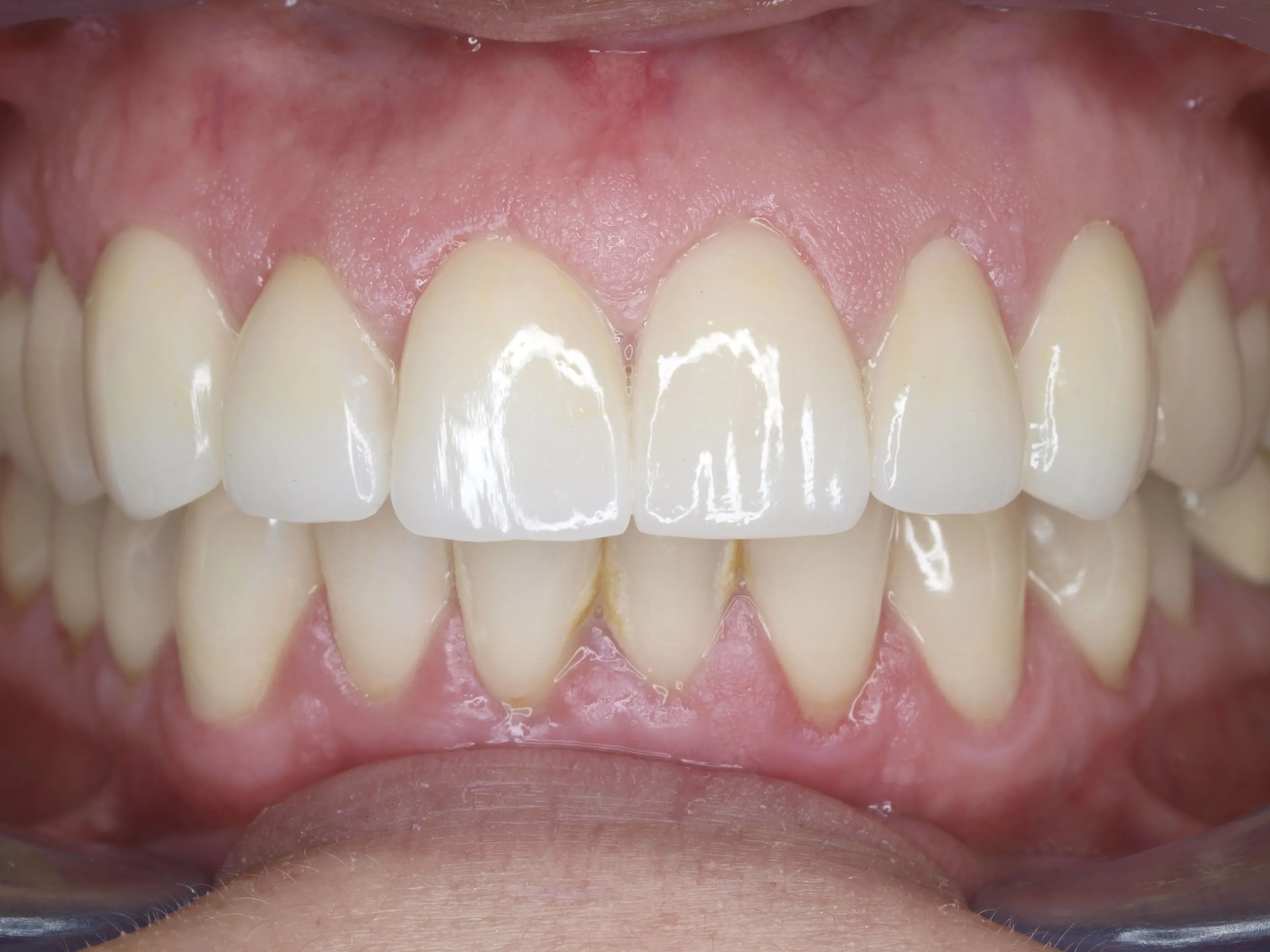
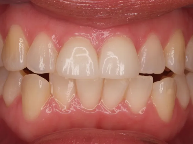
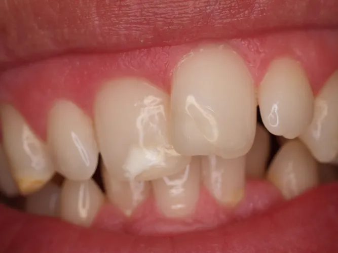
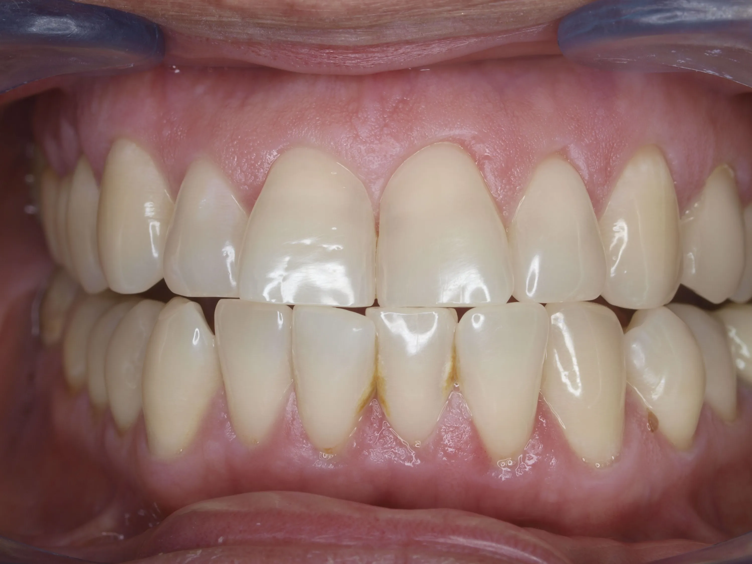
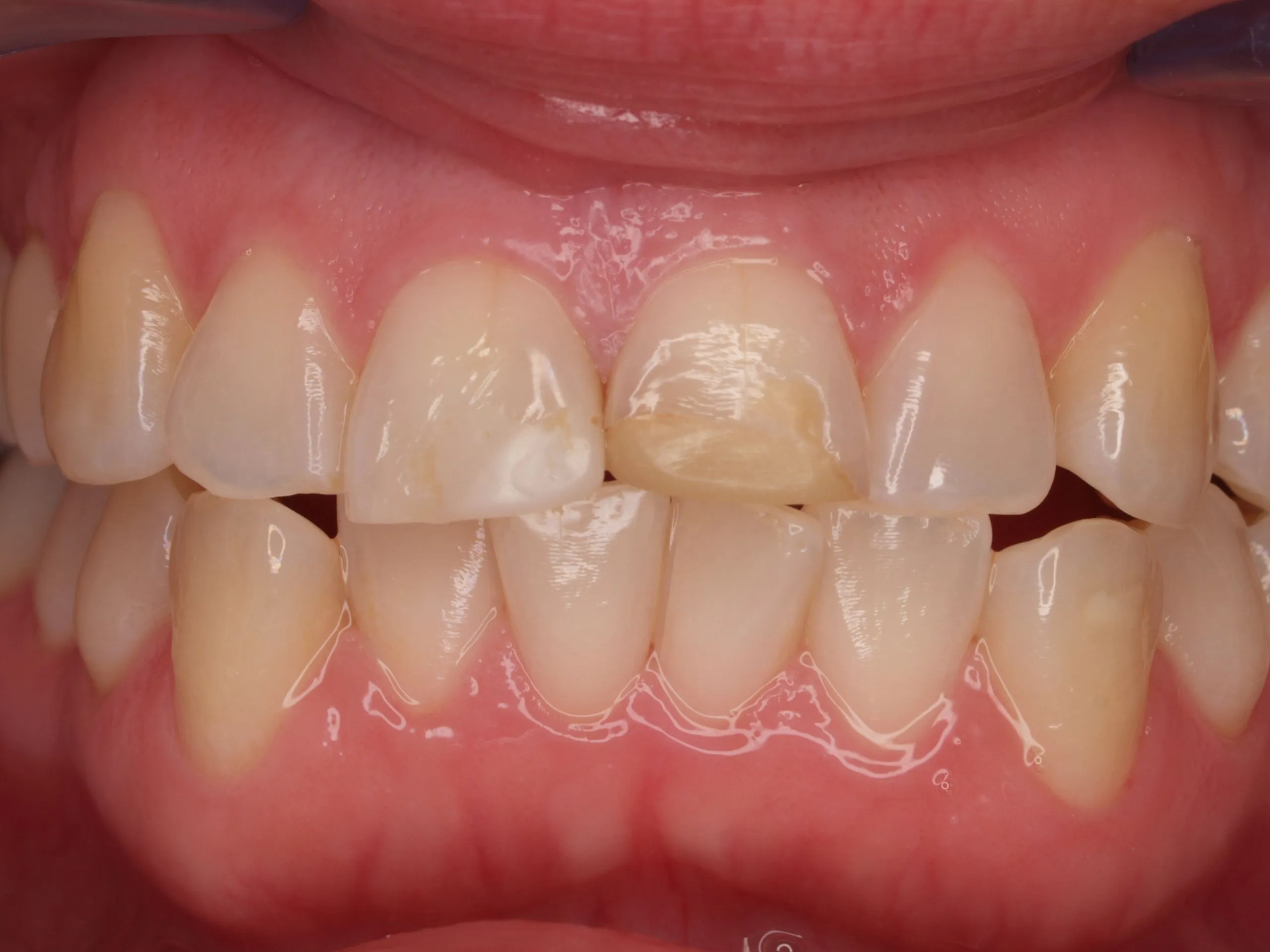
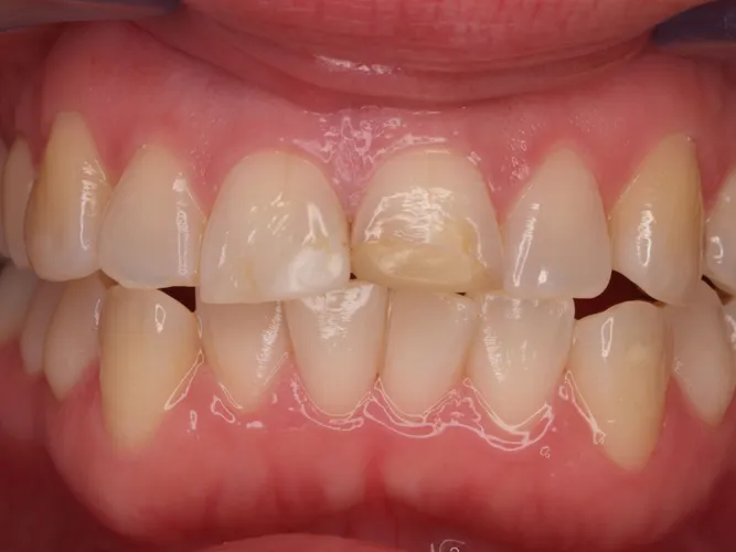
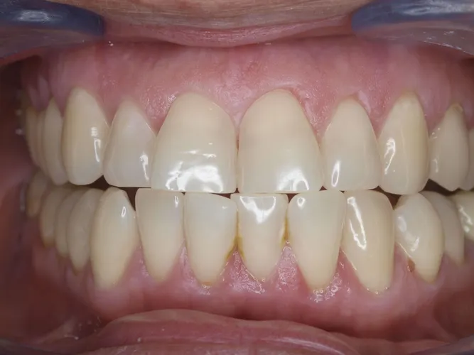
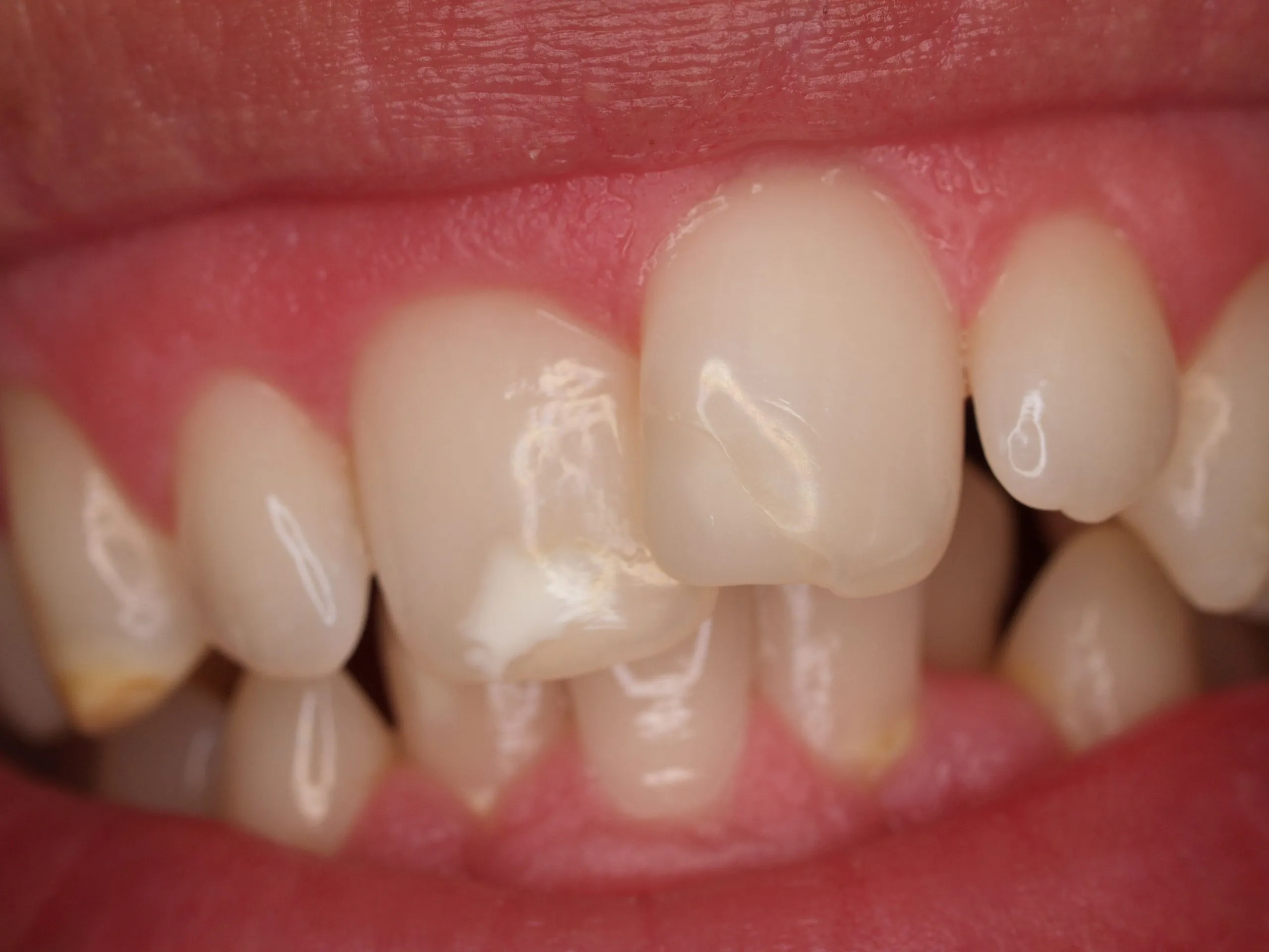
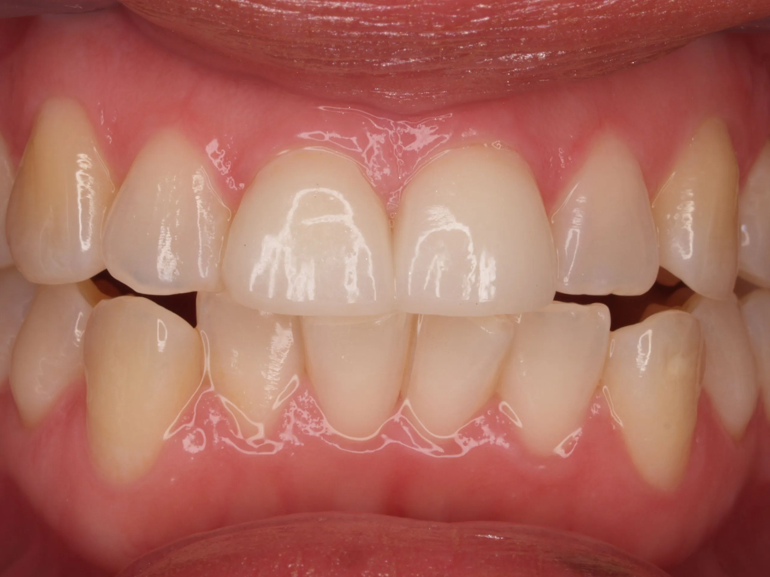
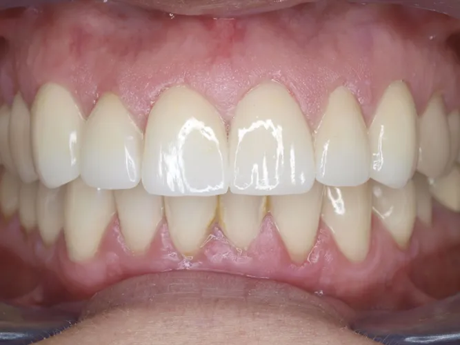
Before and After Gallery
Before and After Gallery
Monday:
9:00 am-5:00 pm
Tuesday:
9:00 am-5:00 pm
Wednesday:
9:00 am-5:00 pm
Thursday:
9:00 am-5:00 pm
Friday:
9:00 am-1:00 pm
Saturday:
Closed
Sunday:
Closed